반응형
복부 CT로 알 수 있는 질병
복부 CT(Computed Tomography, 전산화단층촬영)는 복부 내 다양한 장기 및 구조를 세밀하게 영상화할 수 있는 강력한 진단 도구입니다. 일반 엑스선 사진이나 초음파로는 식별이 어려운 연부조직, 혈관, 내부 병변까지 고해상도로 확인할 수 있기에, 복통·복부 팽만감·체중 감소·비정상 혈액검사 수치 등 다양한 증상의 원인을 찾는 데 자주 활용됩니다.


이 글에서는 복부 CT가 감별 가능하게 해주는 주요 질병들을 장기별·계통별로 정리하고, 검사의 한계 및 주의사항까지 함께 다루어 보겠습니다.
복부 CT의 기본 원리 및 역할

- CT는 X선을 여러 각도에서 촬영하고 컴퓨터로 조합해 단면 영상을 만드는 방식입니다.
- 조영제(contrast)를 정맥 내 주사하거나 경구 투여하면 혈관이나 장기의 대비가 향상되어 병변 식별에 유리합니다.
- 영상은 장기 구조, 밀도 변화, 병변의 크기와 형태, 주변 조직과의 경계 등을 보여 줍니다.
- 복부 CT는 복부와 골반을 포함한 넓은 범위를 한 번에 관찰할 수 있어, 내부 장기뿐 아니라 복막, 혈관계, 림프계 병변 탐색에도 유용합니다.
복부 CT는 단독 진단이라기보다는 임상 증상, 혈액검사, 초음파·MRI 등의 검사와 조합하여 사용됩니다.
복부 CT로 알 수 있는 질병 및 상태
아래에서는복부 CT로 알 수 있는 질병들을 장기별 또는 유형별로 나누어 설명합니다.


위장관계 질환
- 충수염 (Appendicitis)
급성 충수염은 복통의 대표적인 원인으로, 복부 CT에서 충수 주변의 비후, 주위 지방 반응, 충수 내부 염증 변화 등을 확인할 수 있습니다 . - 장 천공, 장 누공
복강 내 공기, 복막 자극 소견, 누공 부위의 조영제 누출 등을 CT에서 포착할 수 있습니다 . - 장 폐색 (Intestinal Obstruction)
장관 팽창, 수위 변화, 폐색점 부위의 병변 (종양, 유착 등)을 영상에서 확인합니다 . - 염증성 장 질환 (Crohn’s disease, 궤양성 대장염 등)
장벽 비후, 조영 증강 패턴, 장간막 지방 침윤 소견 등을 통해 염증 활동성 및 범위를 평가할 수 있습니다 . - 게실염 (Diverticulitis)
게실 주위 염증 부위, 농양, 천공 소견 등을 파악할 수 있습니다 . - 장내 종양 (폴립, 선암, GIST 등)
장벽 내 종괴, 점막 비후 병변, 주변 림프절 전이 유무 등을 CT에서 관찰할 수 있습니다 . - 복막 전이 및 복강 병변 (Omental caking 등)
복막에 전이된 암세포에 의해 비후된 복막 소견, 복강 내 액체 저류 등이 CT상에서 특징적으로 나타날 수 있습니다 .



간 ‧ 담도계 질환
- 간종양 (간세포암, 간내 전이 등)
동맥기 및 문맥기 조영 영상에서 병변의 조영 양상, 경계, 동맥 혈관 침투 여부 등을 볼 수 있습니다 . - 지방간 (hepatic steatosis)
간 조직의 저음영 변화로 지방 침착 정도를 대략적으로 평가할 수 있습니다. CT 기반 기회를 활용해 간 지방침착을 탐지하는 연구도 진행 중입니다 . - 간 농양, 간경변 동반 변화
농양 병소, 괴사 부위, 간 내 낭종 변화 등을 보여줄 수 있습니다. - 담낭염 / 담석증 / 담도 폐쇄
담낭벽 비후, 담낭 주변 염증 소견, 담도 확장, 담관 내 결석 또는 담관 폐쇄 병변 등이 CT에서 확인됩니다 .


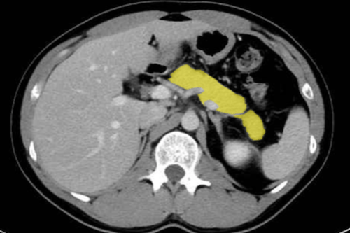
췌장 / 비장 / 비장 주변 질환
- 급성 또는 만성 췌장염
췌장의 비후, 주변 지방 음영 변화, 액체 고임(농양 또는 낭종) 등을 관찰할 수 있습니다 . - 췌장암 / 낭종성 병변
종괴 형태, 조영 증강 양상, 국소 침윤, 주변 조직 침범 여부 등을 확인할 수 있습니다 . - 비장 질환
비장 종대, 낭종, 외상에 의한 비장 파열 소견 등을 CT에서 관찰 가능합니다.
신장 / 비뇨계 질환

- 신장 결석 (신요관 결석)
비조영(non-contrast) CT는 신결석 탐지에 특히 민감하며, 결석의 크기·밀도·위치를 파악할 수 있습니다 . - 수신증 / 요관 폐색
요로 폐색으로 인한 신우 팽창, 요관 확대 소견 등을 확인할 수 있습니다 . - 신장 종양 / 암 (신세포암 등)
신장 내부의 결절, 조영 증강 양상, 주변 조직 침윤 등을 시각화할 수 있습니다 . - 신우신염 (kidney infection)
신장 조직의 비후, 비대칭 조영 양상, 주변 조직 반응 등을 볼 수 있습니다 . - 다낭성 신질환 (Polycystic kidney disease)
복수의 낭종 구조를 CT에서 쉽게 분리해 볼 수 있습니다. - 신장 혈관 문제 (renal artery stenosis, thrombosis 등)
혈관 조영 CT 또는 동맥기·정맥기 영상에서 혈관 협착, 폐색 유무를 평가할 수 있습니다 .

복부 혈관계 및 기타
- 복부 대동맥류 (Abdominal aortic aneurysm, AAA)
대동맥의 직경 확대, 파열 위험성을 CT에서 측정하고 확인할 수 있습니다 . - 혈관 폐색, 동맥 박리
조영 CT를 통한 혈관 구조 변화 확인 가능. - 복강 출혈 / 외상성 손상
내출혈, 간·비장 출혈, 장기 파열 소견 등을 급성기 CT에서 확인할 수 있습니다 . - 복강 내 농양 / 액체 고임 / 복수
복강 내 고액 음영, 액체 고임 병소, 농양 구조 등을 식별할 수 있습니다. - 복막염 / 복막 전이 병소
복막 비후, 조영제 섭취 병변, 복막 고름 등을 볼 수 있습니다. - 특발성 염증 / 감염 (복강 내 농양, 복막 결핵 등)
비정형 증상이나 복부 통증이 있을 경우 CT 소견이 진단 실마리를 제공할 수 있습니다. - 기타 대장 외 장기 전이암 병변
다양한 암의 복강 내 전이와 전이 경로에 대한 정보 제공이 가능합니다. .

복부 CT의 장점과 한계
장점
- 고해상도 영상 제공 — 연부조직 및 내부 구조를 정밀하게 관찰 가능
- 광범위한 관찰 범위 — 복부와 골반 전 영역을 한 번에 스캔
- 급성기 병변 탐색력 — 외상, 출혈, 천공 등 응급 병변 진단에 우수
- 조영제 활용으로 병변 대비도 강화 — 종양 구분, 혈관 평가 가능
- 치료 계획 및 경과 추적 지원 — 수술 전 계획, 항암 치료 반응 평가 등

한계 및 주의점
- 방사선 피폭 위험
복부 CT는 일반 엑스선보다 훨씬 높은 방사선량을 사용하며, 누적 피폭이 문제가 될 수 있습니다 . - 조영제 부작용
신장 기능 저하 환자, 알레르기 이력 환자는 조영제 사용에 주의해야 합니다 . - 병변의 특이도 제한
CT만으로 병변이 악성인지 양성인지 확실히 구분 못하는 경우가 많아 조직검사나 추가 영상검사가 필요할 수 있습니다. - 작은 병변 감별 한계
초기 병소, 미세 결석, 미세 병변 등은 해상도 한계로 놓칠 수 있습니다. - 영상 해석의 어려움
복잡한 해부학적 구조나 조영제 누출, 중첩된 병변 등으로 해석이 어려울 수 있으며, 방사선 전문의의 판독이 필수입니다. - 비용 및 접근성
CT 장비의 비용과 시설 제약 때문에 모든 환자에게 시행하기 어려울 수 있습니다.

사례 중심 예시: 복부 CT 소견과 진단 연결
| 소견 | 가능한 진단 | 설명 및 추가 고려사항 |
| 간 내 조영 증강 병변 | 간세포암, 전이암, 혈관성 양성 병변 등 | 조영 양상 (동맥기/문맥기 대비) 및 크기 변화 분석 필요 |
| 복강 내 액체 고임 + 복막 비후 | 복막 전이, 복막염, 복강 농양 | 복막 조영 양상, 림프절 동반 유무 검사 |
| 신장 내부 결절 | 신세포암, 신장 낭종, 혈관 지방종 등 | 비조영 CT로 지방 유무 판단, 조영 증강 양상 확인 |
| 요관 팽창 + 요로 폐색 소견 | 요관 결석, 종양에 의한 외압 성 폐색 | 요관 결석이면 비조영 CT로 밀도 평가, 폐색 부위 확인 |
| 장벽 비후 + 주변 지방 반응 | 염증성 장질환, 감염, 종양 | 조영 증강 패턴 및 장간막 변화 관찰 필요 |
| 복강 내 공기 또는 누공 소견 | 장 천공, 복막염 | 공기 위치, 누공 경로, 인접 장기 손상 여부 등 분석 |
이와 같은 소견-진단 대응은 임상 맥락, 증상, 혈액검사 결과 등과 종합해 판단되어야 합니다.
복부 CT 활용 시 유의사항 및 검사 준비 팁
- 금식 및 수분 섭취 조절
조영제를 사용하는 경우 일정 시간 금식이 요구될 수 있으며, 검사 전후 수분 섭취로 조영제 배출을 돕는 것이 좋습니다. - 약물 및 신장 기능 확인
특히 메트포르민 복용자, 신장 기능 이상 또는 알레르기 병력이 있는 경우 의료진에 반드시 알리는 것이 중요합니다. - 호흡 조절
호흡 운동은 영상 흔들림을 유발하므로 검사 중에는 숨을 잠시 참는 지시가 있을 수 있습니다. - 임신 여부 확인
임신 중일 경우 방사선 노출 위험 때문에 보조 영상법(초음파, MRI 등)이 우선 고려됩니다. - 기존 영상 자료 확보
과거 CT, MRI 영상이 있다면 비교해 변화 양상을 파악하는 데 큰 도움이 됩니다. - 최적화된 촬영 프로토콜 선택
병변 특성에 따라 단일기 또는 다기(arterial, portal 등) 촬영을 선택해야 하며, 불필요한 촬영은 피폭을 높일 수 있습니다 .
결론

복부 CT는 복통, 체중 감소, 이상 혈액 소견 등 다양한 임상 증상의 원인을 찾는 데 핵심적인 영상 검사입니다. 위장관, 간·담도, 췌장, 신장, 복강 혈관계 등 다수 체계의 질환을 감별할 수 있으며, 응급 상태나 복합 병변 평가에도 유용합니다.

하지만 방사선 노출, 조영제 부작용, 병변 특이도 제한 등 한계도 존재하므로, 환자 개개인의 상태와 임상 맥락을 고려한 적절한 검사를 선택하고 전문의 판독을 기반으로 해석해야 합니다.
반응형
'건강정보' 카테고리의 다른 글
| 위내시경 조직검사 하는 이유 (0) | 2025.10.17 |
|---|---|
| 아르기닌의 효능 부작용 (0) | 2025.10.17 |
| 소변에 거품이 나는 이유 (0) | 2025.10.17 |
| 공복혈당 정상수치 (0) | 2025.10.16 |
| 뇌 mri 검사 비용, 시간, 금식 (0) | 2025.10.15 |