경동맥 초음파 검사로 알 수 있는 병, 비용
경동맥 초음파 검사의 중요성과 원리
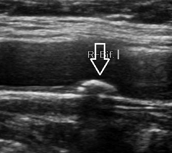
경동맥 초음파 검사는 혈관 건강을 평가하는 데 있어 매우 중요한 역할을 하는 진단법입니다. 경동맥은 심장에서 뇌로 피를 공급하는 주요 혈관으로, 이 부위에 문제가 생기면 뇌졸중이나 일과성 허혈 발작 같은 심각한 질환으로 이어질 수 있습니다. 초음파 검사는 고주파 음파를 이용해 경동맥 내부의 혈류 속도, 혈관벽 두께, 그리고 동맥경화성 플라크(죽상경화반)의 존재 여부를 시각적으로 확인하는 비침습적 검사입니다. 즉, 통증이나 방사선 노출 없이 혈관 상태를 정확히 파악할 수 있어 정기검진용으로도 널리 활용됩니다. 경동맥 초음파 검사로 알수있는병으로는 특히 고혈압, 당뇨, 고지혈증, 흡연자, 비만, 심혈관질환 가족력이 있는 사람에게 권장되는 검사입니다.

대표적인 경동맥 초음파 검사로 알수있는병
1. 경동맥 협착증
경동맥 협착증은 혈관 내벽에 콜레스테롤, 지방, 칼슘이 쌓여 혈관이 좁아지는 질환입니다. 경동맥 내경이 50% 이상 좁아지면 뇌혈류가 감소하여 뇌졸중 위험이 급격히 증가합니다. 초음파를 통해 협착 부위의 정도, 혈류 속도, 플라크의 성질(단단한지, 불안정한지)을 정밀하게 평가할 수 있습니다.
2. 죽상경화증(동맥경화)
경동맥 초음파 검사는 동맥경화의 초기 단계를 확인할 수 있습니다. 혈관벽이 두꺼워지는 ‘내중막 두께(IMT, Intima-Media Thickness)’를 측정하여, 향후 심혈관계 질환 위험도를 예측합니다. IMT가 0.9mm 이상이면 동맥경화 진행이 의심되며, 1.5mm 이상이면 플라크 형성이 진행된 것으로 봅니다.

3. 뇌졸중 및 일과성 허혈 발작(TIA)
경동맥 초음파는 뇌졸중의 예방적 검사로도 매우 중요합니다. 플라크가 불안정하거나 혈전이 형성되면 이 조각이 떨어져 나가 뇌혈관을 막을 수 있기 때문입니다. 뇌졸중 환자의 약 30%는 경동맥 협착이 원인으로 밝혀졌습니다. 따라서 증상이 없더라도 위험인자가 있다면 예방 차원에서 검사를 권합니다.
4. 경동맥 박리(Carotid Dissection)
드물지만 혈관벽이 찢어져 혈류가 벽 사이로 스며드는 경동맥 박리도 초음파로 진단할 수 있습니다. 이는 젊은 연령층에서 발생할 수 있으며, 목 통증이나 두통, 시야장애 등으로 나타납니다.


5. 경동맥류(Carotid Aneurysm)
혈관 벽이 약해져 풍선처럼 부풀어 오르는 질환으로, 초음파를 통해 크기와 형태를 정확히 측정할 수 있습니다. 경동맥류는 파열될 경우 생명을 위협할 수 있어 조기 발견이 매우 중요합니다.
경동맥 초음파 검사 과정
경동맥 초음파 검사는 준비 과정이 간단합니다. 공복 상태일 필요가 없으며, 목 주변의 금속 액세서리나 목도리만 제거하면 됩니다. 검사 시간은 약 10~20분 정도이며, 환자는 눕거나 고개를 약간 돌린 상태로 검사를 진행합니다. 탐촉자를 목 부위에 대고 초음파를 투사하면 화면에 경동맥의 단면이 실시간으로 나타나며, 의사는 혈류 속도와 벽의 상태를 분석합니다. 혈관이 막혀 있거나 좁아진 부분에서는 혈류 속도가 비정상적으로 증가하므로, 이를 통해 협착의 정도를 정량화할 수 있습니다.



경동맥 초음파 검사 결과 해석
검사 결과는 일반적으로 다음과 같이 구분됩니다.



- 정상: 혈관 내벽이 매끄럽고, 내중막 두께(IMT)가 0.8mm 이하
- 경미한 변화: IMT 0.9~1.2mm
- 중등도 동맥경화: IMT 1.3~1.5mm
- 플라크 존재 또는 중증 협착: IMT 1.5mm 이상



이 수치는 단순히 혈관 상태뿐 아니라 전신 동맥경화의 진행 정도를 반영합니다. 즉, 경동맥에 문제가 있으면 심장이나 말초혈관에도 유사한 변화가 있을 가능성이 높습니다.



경동맥 초음파 검사 대상자
다음과 같은 경우 경동맥 초음파 검사를 권장합니다.
- 고혈압, 당뇨, 고지혈증 환자
- 흡연자 또는 과거 흡연력 있는 사람
- 뇌졸중, 심근경색 가족력이 있는 사람
- 갑작스런 어지럼증, 언어장애, 시야 흐림 증상이 있는 사람
- 50세 이상 중장년층의 정기검진
이러한 위험 요인을 가진 사람은 증상이 없더라도 예방적 차원에서 1~2년에 한 번씩 검사를 받는 것이 좋습니다.



경동맥 초음파 검사 비용
경동맥 초음파 검사는 보험 적용 여부와 병원 급에 따라 비용이 달라집니다.
- 일반 병원(보험 적용 시): 약 2만원~3만원 수준
- 대학병원 또는 전문의 진료 병원(보험 적용 시): 약 3만원~5만원
- 비보험(건강검진센터, 종합검진 프로그램): 약 5만원~10만원 정도
의사가 의학적 필요성을 인정하여 처방하는 경우에는 건강보험이 적용되어 본인부담금이 약 30% 정도로 줄어듭니다. 반면 건강검진 목적으로 단독 시행하는 경우는 비급여 항목으로 처리됩니다. 종합검진센터에서는 뇌 MRI, 혈관 CT와 함께 묶음 형태로 진행하기도 합니다.

경동맥 초음파 검사와 다른 검사와의 비교
- CT 혈관조영술(CTA): 혈관의 3D 구조를 확인할 수 있지만 방사선 노출이 있습니다.
- MRI 혈관조영술(MRA): 조영제 없이도 세밀한 혈관 영상을 얻을 수 있으나, 비용이 비싸고 시간도 오래 걸립니다.
- 경동맥 초음파: 비침습적, 저비용, 즉시 결과 확인 가능하며 반복 검사에 적합합니다.
즉, 초음파 검사는 초기 스크리닝 및 추적관찰용으로 가장 널리 쓰이는 방법입니다.



경동맥 초음파 검사 관련 FAQ
Q1. 검사 전 금식이 필요한가요?
아닙니다. 경동맥 초음파 검사는 복부 초음파와 달리 금식이 필요 없습니다. 다만 목 주변을 압박할 수 있는 의류는 피하는 것이 좋습니다.
Q2. 검사 시간은 얼마나 걸리나요?
보통 15분 내외이며, 양쪽 경동맥을 모두 검사합니다. 협착이나 플라크가 의심되면 추가로 도플러 측정을 시행합니다.
Q3. 초음파로 모든 혈관질환을 진단할 수 있나요?
대부분의 협착, 플라크, 혈류 이상은 확인할 수 있으나, 미세한 혈전이나 뇌 속 깊은 부위의 혈관은 MRI나 CT로 보완 진단이 필요할 수 있습니다.
Q4. 검사 중 통증이나 부작용이 있나요?
전혀 없습니다. 피부 위에 젤을 바르고 탐촉자를 대기만 하기 때문에, 방사선이나 조영제 알레르기 위험도 없습니다.
Q5. 검사 후 주의사항은 있나요?
특별한 주의사항은 없습니다. 다만 의사가 혈류 이상을 발견하면 약물치료나 생활습관 교정을 함께 권할 수 있습니다.



Q6. 얼마나 자주 검사해야 하나요?
고위험군은 1년에 한 번, 일반 성인은 2~3년에 한 번 정도가 적당합니다. 기존에 협착이 있는 경우 6개월~1년 단위로 추적 검사를 진행합니다.
Q7. 경동맥 초음파 결과에서 플라크가 발견되면 바로 수술이 필요한가요?
아닙니다. 대부분은 약물치료나 식이조절로 관리가 가능합니다. 다만 협착이 70% 이상일 경우 스텐트 시술이나 내막절제술이 필요할 수 있습니다.
Q8. 보험 적용 기준은 어떻게 되나요?
고혈압, 당뇨, 고지혈증, 뇌졸중 병력 등 위험요인이 있으면 건강보험이 적용됩니다. 단순 건강검진용은 비급여입니다.
결론



경동맥 초음파 검사는 단순한 목 혈관 검사가 아닙니다. 뇌로 가는 혈류의 상태를 직접 관찰함으로써 뇌졸중, 심근경색, 동맥경화 같은 중대한 질환을 예방할 수 있는 핵심 검사입니다. 검사 과정이 간단하고 비용이 저렴하며, 통증이 없다는 장점 덕분에 중장년층 건강검진 항목으로 매우 적합합니다. 특히 고혈압, 당뇨, 고지혈증, 흡연자라면 증상이 없더라도 미리 검사를 받아 혈관 건강 상태를 확인하는 것이 중요합니다. 조기 진단이 곧 생명을 지키는 예방입니다.






'건강정보' 카테고리의 다른 글
| 아르기닌의 효능 부작용 (0) | 2025.10.17 |
|---|---|
| 복부 CT로 알 수 있는 질병 (0) | 2025.10.17 |
| 소변에 거품이 나는 이유 (0) | 2025.10.17 |
| 공복혈당 정상수치 (0) | 2025.10.16 |
| 뇌 mri 검사 비용, 시간, 금식 (0) | 2025.10.15 |